본문 바로가기
건강백서

폐암 초기증상 12가지 총정리

by issueking77 2023. 5. 23.
반응형

폐암 초기증상 12가지 총정리

이번 포스팅에는 폐암 초기증상에 대해서 알아보겠습니다.

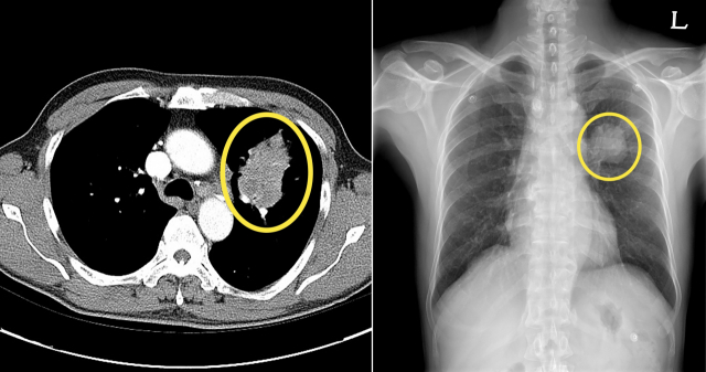
폐암 초기증상 12가지

 

폐암 원인

흡연은 폐암의 주요 원인으로 폐암 발생의 약 85%를 차지합니다. 폐암 발병 위험은 흡연한 담배의 개수와 흡연 기간에 따라 달라집니다. 담배를 끊은 사람은 폐암 발병 위험이 낮아지지만, 과거 흡연자는 담배를 피운 적이 없는 사람에 비해 위험이 계속 증가합니다.

폐암 초기증상 12가지
폐암 초기증상 12가지

흡연 외에도 대기 오염, 마리화나 사용, 담배 연기 및 간접흡연, 난방을 위한 화기 사용으로 인해 석면, 방사선, 라돈, 비소, 크롬산염 등 폐암의 알려진 위험 요인에 노출될 수 있습니다. 폐암, 특히 선암과 기관지 폐포 세포암은 결핵과 같은 다른 폐 질환으로 인한 폐의 흉터로 인해 발생하는 경우도 적지 않습니다.

 


 

폐암 초기증상 12가지 총정리

폐암 초기증상 - 1. 흉통

가슴 통증도 흔한 증상 중 하나이며 가능한 증상 중 하나라 고합니다. 폐의 아랫부분에 종양이 발생하면 흉막과 흉벽을 침범한 다고 합니다. 이로 인해 날카로운 통증이 발생할 수 있으며 기침과 흉통이 있으면 의심해야 한다고 합니다. 흉통의 경우 그 이상으로 암이 진행되면 더 심한 통증감으로 나타난다고 합니다.

폐암 초기증상 12가지
폐암 초기증상 12가지

 

폐암 초기증상 - 2.상대정맥증후군

폐암 초기에는 호흡곤란이나 가슴의 정맥이 튀어나오는 증상, 머리와 팔의 혈액순환이 잘 안 되고 부어오르는 증상이 나타날 수 있습니다.

폐암 초기증상 - 3. 객혈

우선 객혈은 기침할 때 배출되는 가래에 혈액이 섞여 나오는 것을 말합니다. 암세포가 작더라도 기관지를 뚫고 들어가면 혈관이 발달하여 이 부분을 자극하게 되고, 기침이나 가래를 뱉을 때 객혈이 나타날 수 있습니다. 뚜렷한 이유 없이 피를 토한다면 폐암일 수 있습니다.

폐암 초기증상 12가지
폐암 초기증상 12가지

 

폐암 초기증상 - 4. 구토와 두통

폐암은 종종 뇌로 전이됩니다. 암세포가 뇌의 신경을 자극하면 비정상적인 증상이 나타납니다. 특징적인 증상은 구토와 두통입니다. 잦은 구토는 뇌 손상과 같은 전신 또는 조건부 통증으로 인해 발생할 수도 있습니다.

폐암 초기증상 12가지
폐암 초기증상 12가지

폐암 초기증상 - 5. 체중감소

폐암은 식욕 부진으로 인한 체중 감소를 유발할 수 있으며, 이는 쇠약과 전신 증상을 동반할 수 있습니다. 식욕 부진으로 인해 갑작스러운 체중 감소가 발생하면 의사를 방문해야 합니다. 암은 신진대사에 직접적인 영향을 미칠 수 있기 때문에 질병이 진행되면 정상 체중의 10%를 잃는 것이 일반적입니다.

 

폐암 초기증상 - 6. 쉰 목소리

성대를 지배하는 순환 후두신경은 폐와 폐 사이의 공간인 종격동을 지나가는데, 폐암이 진행되면 이 신경을 침범하여 성대가 마비되고 목소리가 쉬어서 나오지 않는 증상이 나타날 수 있습니다. 이 증상은 처음에는 급격하게 나타나지 않고 서서히 진행되다가 상태가 호전되어도 다시 돌아오지 않고 서서히 악화되기 때문에 인후통이라고 합니다.

폐암 초기증상 12가지

폐암 초기증상 - 7. 면역 저하

우리 몸의 면역체계는 외부에서 들어오는 바이러스나 유해균으로부터 우리 몸을 보호하는 역할을 하는데, 우리 몸은 매번 감염의 위험에 노출되어 있기 때문에 면역력이 저하되면 우리 몸이 약해지고 감염에 대한 결정이 높아질 수 있다고 합니다. 폐암도 같은 방식으로 면역력을 떨어뜨려 폐렴이나 기관지염과 같은 폐 감염이 발생할 확률을 높일 수 있습니다.

폐암 초기증상 12가지

 

폐암 초기증상 - 8. 기침

기침은 폐에 염증이나 종양이 발생할 때 많은 사람들이 경험하는 일반적인 증상입니다. 그러나 기침은 폐암의 흔한 조기 경고 신호이기도 하며, 환자의 75%가 기침을 경험한다고 보고했습니다. 기침이 지속되고 다음과 같은 증상이 나타나면 폐암의 조기 경고 신호로 간주해야 합니다.

폐암 초기증상 - 9. 손발이 부음

폐와 손, 발이 무슨 관련이 있는지 궁금할 수도 있지만, 이는 많은 폐암 환자들이 경험하는 초기 증상입니다. 암 조직은 여분의 혈액 공급으로 인해 손과 발 끝이 부어오르게 한다고 합니다.

폐암 초기증상 12가지
폐암 초기증상 12가지

 

폐암 초기증상 - 10. 무증상

폐암 환자의 약 10~15%는 별다른 증상이 없을 수 있습니다. 폐암이 초기 단계를 지나 중기에 이르면 증상이 서서히 나타나는 것으로 알려져 있습니다. 그러나 이때 나타나는 증상도 폐암으로 진단하기 어려운 경미한 증상이나 다른 질환으로 오인할 수 있는 증상입니다.

폐암 초기증상 12가지
폐암 초기증상 12가지

 

폐암 초기증상 - 11. 호흡곤란

폐가 영향을 받으면 약간의 운동에도 숨이 가빠지고 호흡 곤란을 경험할 수 있습니다. 암세포의 성장으로 인한 폐 기능 상실로 인해 일부 사람들은 호흡 곤란을 겪을 수 있으며 흉막 삼출, 폐 붕괴 및 상기도 폐쇄로 인해 호흡이 어려워질 수 있습니다. 가벼운 증상을 무시하기 쉽지만 무시하면 통제할 수 없을 정도로 커질 수 있으므로 신속하게 검사를 받아야 합니다.

폐암 초기증상 - 12. 뼈 통증

암이 뼈로 전이된 경우 특별한 외상이나 이유 없이 골절이나 통증을 경험할 수 있습니다. 폐암이 소작하는 물질로 인해 발열이나 두통과 같은 전신 증상이 나타날 수도 있습니다. 뚜렷한 이유 없이 다양한 증상이 나타나고 지속된다면 검사를 받아보는 것이 좋습니다.

폐암 초기증상 12가지

 

폐암 예방법

흡연을 하지 않더라도 폐암을 걸리는 경우가 있는데 이런 상황을 막기 위한 예방법에는 먼저 요리를 하실 때는 연기를 실내에 들고 있는 것보단 환기를 하셔서 내보내 주는 것이 중요합니다.

 

그리고 조리 방법으로는 굽거나 튀기는 것보단 찌거나 삶아서 요리하시면 좋으며 구우실 때는 타지 않도록 해주시기 바랍니다. 음식이 타면 발생하게 되는 유해물질이 있는데 그것을 그걸 흡입하게 되면 폐암의 원인이 될 수 있습니다.

이렇게 폐암 초기증상과 예방법에 대해서 살펴보았습니다. 다음번에는 더욱더 도움이 되는 건강정보로 찾아오겠습니다.

 

 

 

당뇨에 좋은 음식 22가지 대방출

당뇨에 좋은 음식 22가지 대방출 이전 포스팅에서 당뇨병 초기증상에 대해 살펴보셨나요? 최근 현대인들의 식습관과 운동 부족 등으로 인해 당뇨병이 많이 발생하고 있으며, 알려드렸던 것처럼

issueking77.onestarv.com

 

브로콜리 효능 15가지와 깨끗하게 씻어 먹는 방법

오늘은 슈퍼푸드로 꼽히는 채소인 브로콜리의 효능에 대해 이야기해 보려고 합니다. 브로콜리는 샐러드, 볶음, 튀김, 수프 및 기타 여러 요리에 사용되는 친숙한 채소입니다. 비타민, 미네랄, 섬

issueking77.onestarv.com

 

 

저혈압에 좋은 음식 20가지 대공개

저혈압에 좋은 음식 20가지 대공개 앉았다가 일어설 때 어지러움을 느끼시나요? 신체 컨디션이 좋지 않고 힘이 없고 기력이 달리는 느낌이 오랫동안 지속되시나요? 만약 그렇다면 저혈압을 의심

issueking77.onestarv.com

 

반응형

댓글